¿Qué es mejor: las pastas de dientes con o sin flúor?
Muchas veces nos surge la duda de si debemos usar pastas de dientes con flúor o sin flúor para nuestra higiene dental diaria.
En el artículo de hoy intentaremos arrojar algo de luz sobre una pregunta muy común acerca de la higiene dental que nos hacen en farmacia. ¿son útiles las pastas de dientes con fluor?
Introducción
La elección entre pastas dentífricas con o sin flúor genera dudas: ¿realmente es necesario el flúor? Este artículo te muestra de forma clara y basada en evidencia a ientífica(MedlinePlus, AAP, PrevInfad…), por qué el flúor es beneficioso, en qué casos puede no ser recomendable y cuáles son las recomendaciones de higiene bucodental con pastas con flúor o sin flúor según la edad y algunos casos concretos.
Beneficios del flúor
A continuación se resumen algunos beneficios del flúor para nuestra correcta salud bucodental:
- Refuerza el esmalte: promueve la remineralización y crea una capa protectora resistente a los ácidos.1
- Previene las caries: uso regular reduce significativamente la incidencia,2 especialmente en niños.
- Efecto antibacteriano: inhibe las bacterias que descomponen azúcares y generan ácido.2
- Reconocimiento sanitario: recomendado por organismos como la American Academy of Pediatrics y la OMS.1
¿Y las pastas sin flúor?
Las pastas sin flúor pueden reducir el riesgo de ingestión excesiva en niños pequeños, pero no ofrecen protección comprobada contra caries.6 Su uso puede estar justificado en casos de sensibilidad, alergias o por decisión informada, siempre complementando con higiene rigurosa y control dental.
Inconvenientes del flúor
El flúor en cantidades adecuadas es ventajoso usarlo pero si se ingiere en exceso el flúor puede haber complicaciones donde la más frecuente es la fluorosis.
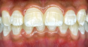
La fluorosis dental es una alteración en la formación del esmalte de los dientes causada por una ingesta excesiva de flúor durante los primeros años de vida.
Los dientes tienen una fina capa que les protege denominada esmalte. Cuando se produce la fluorosis, aparecen unas manchas en dicho esmalte (la superficie de los dientes) y esto les hace que sean más susceptibles a tener patologías y que sea dicho esmalte más frágil.

Conviene prevenir esta patología en especial en los menores de 8 años ya que a esta edad es cuando se forma completamente el esmalte y hay menos riesgo de que sufran fluorosis.
Para prevenir la fluorosis no debemos solo evitar las pastas con flúor pues la cantidad recomendada que se usa de pasta de dientes en la higiene bucodental de los niños es pequeña (se recomienda usar 1000 ppm de flúor en menores de 3 años y a partir de los 3 concentraciones más elevadas) y no tendría por qué producir fluorosis. Donde hay más riesgo de fluorosis es por ejemplo en el agua fluorada que se emplee en niños pequeños (tener en cuenta la que se usa para preparar biberones, quizás sea mejor usar embotellada que esté controlada la concentración de flúor),
Flúor en niños
En menores de 2 años, se recomienda evitar el flúor a menos que lo indique un profesional.1 A partir del primer diente (1–3 años), se usa una cantidad muy pequeña (“grano de arroz”), y desde los 3–6 años, una del tamaño de un guisante.3 Siempre vigilando que no lo traguen para evitar la fluorosis, que causa manchas blancas en el esmalte.7
Recomendaciones de uso
- Usar pasta con 1 000–1 450 ppm de flúor según edad.3
- Cepillado dos veces al día, al menos 2 minutos cada vez.6
- No enjuagar con abundante agua tras cepillar para prolongar el efecto del flúor.6
- Supervisar el cepillado infantil hasta los 6–7 años.4
- Si el agua no contiene flúor, evaluar suplementos orales bajo indicación médica.2
La evidencia científica respalda ampliamente el uso de pastas con flúor como medida eficaz y segura para prevenir caries en adultos y niños, siempre que se use de forma adecuada y supervisada. Las pastas sin flúor pueden tener cabida en situaciones específicas, pero no reemplazan al flúor como protector del esmalte.
En nuestra parafarmacia online encontrarás una selección de dentífricos con concentraciones adecuadas de flúor, así como alternativas sin flúor y otros productos complementarios como colutorios y cepillos infantiles para una higiene oral completa.
-
Desde Onlyfarma esperamos que este artículo haya sido de su interés y les recordamos que siempre estamos disponibles para resolver cualquier duda o pregunta acerca de la las pastas con flúor o de cualquier otro tema, a través de nuestro whatsapp o teléfono, estaremos encantados de atenderte.
Fuentes de información
1MedlinePlus (es): Fluoruro – prevención de caries :contentReference[oaicite:1]{index=1}.
2NIH ODS (es): datos sobre fluoruro :contentReference[oaicite:2]{index=2}.
3PrevInfad/AEPAP: pautas pasta dental infantil :contentReference[oaicite:3]{index=3}.
4MedlinePlus (es): salud dental infantil :contentReference[oaicite:4]{index=4}.
5Clínica Naranjo (es): pros y contras pasta con flúor :contentReference[oaicite:5]{index=5}.
6Medical News Today (es): fluorosis y riesgos del flúor :contentReference[oaicite:6]{index=6}.
ESCRITO POR:
María Suárez Santillán
Licenciada en Farmacia por la Universidad Complutense de Madrid.
Colegiada número 21421 del Colegio Farmacéutico de Madrid.
SOBRE MI:
Licenciada en Farmacia desde Marzo 2014, desde el inicio de la carrera he sentido atracción por la atención farmacéutica y ofrecer un trato personalizado al paciente. Asisto regularmente a cursos y formaciones organizados por el COFM, CSIF y la plataforma Mi Farma Formación para estar al día en las últimas tendencias y avances.
Desde el año 2019 formo parte del equipo de Onlyfarma y puedes encontrarme atendiendo a nuestros pacientes en la oficina de farmacia en la Calle Campiña 12 de Madrid.
Estoy entusiasmada por poder ofrecer información y consejos en nuestro blog a pacientes que quieran alcanzar un estilo de vida más saludable, o simplemente conocer más sobre algún tema relacionado con la salud.
Además de mi formación general en farmacia, he desarrollado una especialización en dermofarmacia. Me encanta trabajar con pacientes que tienen problemas de piel y ayudarlos a encontrar soluciones eficaces y seguras para sus necesidades. He estudiado en profundidad los productos y tratamientos y cómo pueden afectar a diferentes tipos de piel. Me siento altamente capacitada para ayudar a mis pacientes a encontrar los productos y rutinas adecuadas para sus problemas dermatológicos y trabajar con ellos para lograr los resultados deseados.
En la misma categoría
Relacionados por Etiquetas

Comentarios
Sin comentarios en este momento!
Deje su comentario